Современные методы лечения плечевого сустава
Современные методы лечения плечевого сустава
Выявляем главный источник боли и ограничения функции плеча, подбираем лечение и составляем поэтапный план восстановления
— Находим, что именно вызывает боль: мышцы, сухожилия, капсула или сам сустав
— Воздействуем на поражённые структуры с помощью физиотерапии, упражнений и врачебных методов
— Составляем поэтапный план нагрузок для восстановления функции и контроля симптомов
Москва, ул.Студенческая, 20 к.1
Москва, ул. Гамалеи, 23, к1
+7 (495) 019-78-76
Что вас беспокоит?
Помогаем разобраться, почему болит плечо и что с этим делать
Симптомы:
Острая боль в плече после травмы или перегрузки
Хроническая ноющая боль в плечевом суставе
Ограничение подвижности, скованность
Боль по ночам, невозможность спать на больной стороне
Щелчки и хруст при движении
Крыловидная или «прилипшая» лопатка, нарушение осанки
Болезненные движения в плечевом суставе:
Отведение руки в сторону
Заведение руки за спину
Расчёсывание даётся с трудом
Заведение руки в задний карман или застёгивание бюстгальтера
Вытягивание руки назад
Надавливание рукой на живот
При каких заболеваниях мы лечим плечо
— Плечелопаточный периартрит (замороженное плечо)

— Тендинопатии вращательной манжеты

— Субакромиальный синдром (импинджмент-синдром)

— Тендинит сухожилия длинной головки бицепса

— Остеоартрит акромиально-ключичного сустава

— Миофасциальный синдром мышц плечевого пояса

— Функциональная нестабильность плечевого сустава

— Состояния после операций и травм плеча
Почему болит плечо?
Боль в плече может быть связана с разными структурами: сухожилиями, мышцами, суставной капсулой, самим суставом или нарушением работы лопатки.
Источник боли не всегда очевиден по ощущениям, поэтому важно определить, какая именно структура повреждена или перегружена.
У одних пациентов боль возникает после травмы или перегрузки, у других — развивается постепенно и становится хронической.
Со временем без лечения могут усиливаться скованность, ограничение движений и мышечный спазм.
Почему МРТ не всегда показывает истинную причину боли
МРТ и УЗИ помогают увидеть изменения в сухожилиях, суставе и мягких тканях, но не всегда объясняют, почему плечо болит именно сейчас.
Поэтому диагноз мы ставим не только по снимкам, но и на основании:
— ортопедического тестирования плечевого сустава

— анализа болезненных движений

— оценки работы лопатки и плечевого пояса
— сопоставления жалоб с данными МРТ, УЗИ и других исследований
Наша задача — определить главный источник боли, а не просто перечислить изменения в заключении МРТ.
Как мы лечим плечевой сустав
Лечение подбирается индивидуально, обычно требуется 6–10 визитов в течение 2–6 недель, но программа зависит от диагноза, выраженности боли и состояния тканей.
Мы используем поэтапный подход: сначала уменьшаем боль и воспаление, затем восстанавливаем функцию сустава и закрепляем результат.
1. Снятие боли и воспаления
При выраженном болевом синдроме первоочередная задача — уменьшить воспаление и снизить боль в поражённых тканях плечевого сустава.
На этом этапе могут применяться:
— медикаментозная терапия

— интенсивная физиотерапия

— мягкие мануальные техники

— миофасциальный массаж

— лечебные движения для безопасной активации плеча
Наша задача — облегчить состояние пациента уже на первой консультации. Часто уменьшение боли начинается сразу после первичных процедур. Часть пациентов может обходиться без этого этапа.
2. Терапевтический курс восстановления
Основной этап лечения направлен на восстановление тканей и подготовку плечевого сустава к нормальным нагрузкам.
На этой стадии обычно используются:
— физиотерапевтические процедуры

— работа с мышечным дисбалансом плечевого пояса

— миофасциальный массаж и работа с триггерными точками

— мягкая мобилизация плечевого сустава и лопатки

— упражнения для восстановления подвижности
На данном этапе медикаменты чаще всего уже не требуются. Большинство пациентов начинает лечение именно с этой стадии.
3. Реабилитация и закрепление результата
Финальный этап лечения направлен на восстановление силы мышц и правильной биомеханики плечевого сустава.
Программа может включать:
— занятия с реабилитологом
— упражнения для укрепления мышц плечевого пояса
— формирование правильных двигательных паттернов
— постепенное возвращение к привычным нагрузкам
Занятия проходят 1−2 раза в неделю в клинике или выполняются самостоятельно дома по индивидуальной программе.
Для большинства пациентов достаточно около 3 месяцев систематической работы, чтобы закрепить результат лечения и снизить риск повторного появления боли.
Важно
Основное уменьшение боли и воспаления обычно происходит на первых этапах лечения. Однако для полноценного восстановления плечевого сустава этого недостаточно.
Реабилитационные упражнения необходимы, чтобы:
— восстановить правильную работу плечевого сустава
— сформировать стабильную работу плеча и лопатки
— снизить риск повторных эпизодов боли
— вернуть полноценную физическую активность
Почему болит плечо?
При острой боли без травмы:
улучшение обычно наступает через 1–3 недели, полное восстановление — до 1,5–2 месяцев.
При тендинопатиях и хронической боли:
6–12 посещений активного лечения, затем ещё 2–3 месяца поддерживающих упражнений.
При замороженном плече:
фаза «размораживания» может занимать от 3 до 12 месяцев. Лечение помогает ускорить этот процесс и улучшить конечный результат. Количество визитов может быть 20 и более.
Основной эффект в виде уменьшения боли достигается на ранних этапах лечения. Дальнейшие стадии направлены на восстановление функции и предотвращение рецидивов.
Стоимость лечения
Курс лечения плечевого сустава
От 2 000 ₽
Консультация травматолога-ортопеда

Включает: тестирование сустава, анализ снимков, определение причины боли и рекомендации.
Если лечение начато в день приема — консультация бесплатно.
Бесплатно
Разбор МРТ и УЗИ

Врач объяснит, какие изменения важны, что является причиной боли и как лечить.
От 32 000 ₽
Курс лечения плечевого сустава включает
Включает: ударно-волновую терапию, массаж (30 мин), физиотерапию и рекомендации по упражнениям.

Курс рассчитан на несколько визитов в течение 2−6 недель.
Точная стоимость определяется после консультации врача и зависит от диагноза, степени воспаления тканей, объёма необходимых процедур.

Стоимость лечения редко увеличивается более чем на 10−15%, однако сроки терапии могут варьироваться в зависимости от сложности случая и реакции тканей на лечение.
Как проходит
первичный приём
На первичном приёме врач:
— проводит расширенное ортопедическое тестирование плечевого сустава
— анализирует МРТ, УЗИ и другие исследования
— определяет 1−2 основных источника боли
— формулирует понятный диагноз
— даёт рекомендации по физической активности и бытовым нагрузкам
— старается уменьшить боль уже на первом приёме
— составляет этапный план лечения
— контролирует все этапы терапии и при необходимости корректирует план
Методы лечения
Лечение плечевого сустава может включать следующие методы:
— физиотерапевтические процедуры

— мягкие мануальные техники

— медикаментозную поддержку
— лечебные движения
— реабилитацию с упражнениями
— работу с мышцами плечевого пояса и лопаткой
Все методы подбираются индивидуально — в зависимости от диагноза, выраженности боли и стадии заболевания.
Когда нельзя откладывать лечение
Что может произойти, если долго откладывать лечение:
— Усиление боли и переход эпизодических симптомов в хронический болевой синдром
— Постепенное формирование контрактуры и ограничение подвижности
— Развитие синдрома замороженного плеча
— Усиление дегенеративных изменений в сухожилиях с риском частичных или полных разрывов
— Компенсаторные нарушения осанки и перегрузка шеи или второго плеча
— Постоянные мышечные спазмы и формирование триггерных точек
— Ухудшение качества жизни и ограничение бытовой и профессиональной активности
Оставьте заявку, мы перезвоним
Получите консультацию о методах лечения
в сети клиник Доктора Епифанова или запишитесь на прием к врачу в вашем городе
Мы не проводим лечение или откладываем процедуры, если:
— есть лихорадка или острая инфекция
— есть подозрение на перелом или вывих после свежей травмы

— имеется онкологический процесс с подозрением на метастазы в кости
— имеются тяжёлые сердечно-сосудистые заболевания в фазе декомпенсации
— есть активные воспалительные или гнойные процессы в зоне воздействия
— установлен кардиостимулятор или другие импланты, ограничивающие часть процедур
— имеются тяжёлые психические расстройства или неконтролируемая эпилепсия
Наши принципы работы
1
Объясняем, что именно делаем и зачем
2
Составляем план лечения с учётом вашей двигательной активности
3
Используем методы с проверенной эффективностью

4
Не лечим только симптомы — ищем и устраняем причину боли
5
Обучаем пациента и объясняем, как предотвратить рецидив
6
Контролируем лечение поэтапно и корректируем план при необходимости
Квалификация врачей в клинике Епифанова
Лечение плечевого сустава в клиниках доктора Епифанова проводят врачи, которые специализируются на заболеваниях опорно-двигательного аппарата, болевых синдромах и восстановлении функции движения.
Специалисты клиники регулярно работают с пациентами с травмами плеча, перегрузочными повреждениями и хронической болью в плечевом суставе.

Врачи используют современные методы диагностики и лечения, основанные на клинических рекомендациях и опыте работы с подобными случаями.
Специалисты в Москве,
ул. Студенческая, 20 к.1
Специалисты в Москве,
ул. Гамалеи, 23, к1
Результаты лечения наших пациентов подтверждаем на МРТ
До лечения
Пациент 45 лет.
— Постоянная боль в плечевом суставе, усиливающаяся при движениях рукой
— Невозможность спать на больной стороне из-за выраженного дискомфорта
— Усиление боли во время тренировок в фитнесе и серьёзные ограничения при выполнении многих силовых упражнений
После лечения
Боль в плече полностью исчезла. Физическая активность восстановлена в полном объёме — пациент вернулся к тренировкам в фитнесе без ограничений.
До лечения
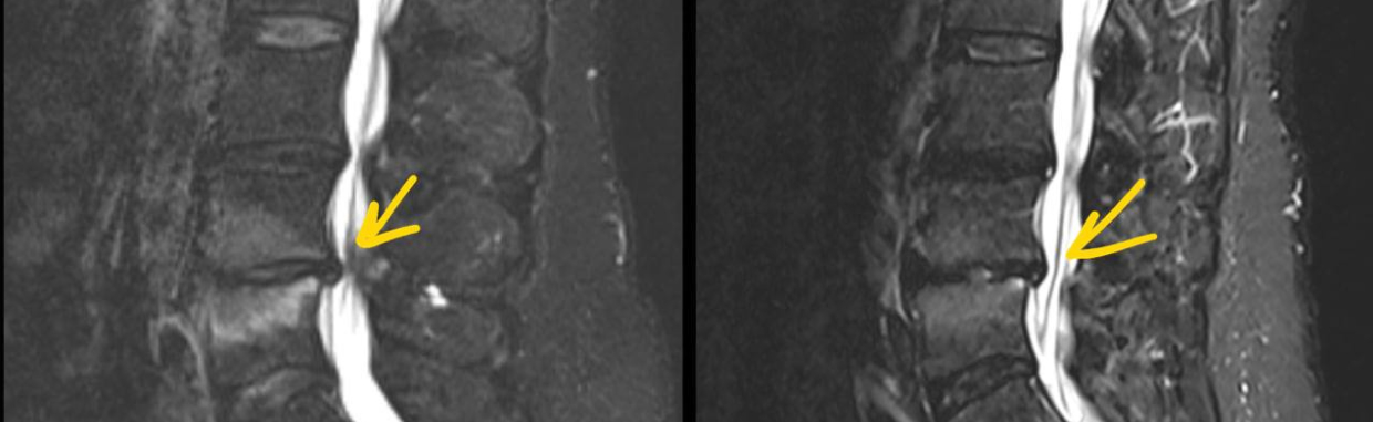
Пациент 40 лет.
— На МРТ поясничного отдела позвоночника определяется стеноз позвоночного канала, связанный с гипертрофией и отеком желтой связки, что приводит к сужению просвета канала и давлению на дуральный мешок.
— В области желтой связки визуализируется участок повышенного сигнала, соответствующий воспалительному отеку мягких тканей.
— Клинически состояние сопровождалось слабостью в ногах и ограничением дистанции ходьбы, характерными для нейрогенной перемежающейся хромоты при стенозе позвоночного канала.
После лечения
После курса консервативной терапии отмечается положительная динамика: на контрольном МРТ определяется уменьшение отека и толщины желтой связки, что приводит к расширению просвета позвоночного канала и снижению компрессии дурального мешка. Это сопровождается улучшением клинического состояния пациента — уменьшением слабости в ногах и увеличением дистанции безболевой ходьбы.
До лечения
Пациент 38 лет.
— Первое обострение (1 снимок) с прострелом в спине и болью в ноге и ягодице до 6 баллов в течение 1 мес.
— Самостоятельная попытка справится с болью с помощью упражнений в течение 1 мес.
— Второй прострел в спине и усиление болей до 9 баллов в состоянии покоя. Обратился в клинику.
После лечения
Полная резорбция грыжи диска и соответствующее исчезновение болей. Возврат к привычному образу жизни (3 снимок).
Опыт пациентов на Студенческой
После лечения грыжи без операции в клиниках доктора Епифанова
Опыт пациентов на Гамалеи
После лечения грыжи без операции в клиниках доктора Епифанова
Частые вопросы пациентов
Контакты
Москва, м. Кутузовская
ул. Студенческая, 20 к.1
c 8:00 до 20:00
+7 (495) 019-78-76
Москва, м. Щукинская
ул. Гамалеи, 23, к1
c 8:00 до 20:00
+7 (495) 019-78-76
Если у вас есть МРТ — принесите его на консультацию.
Мы разберём снимки, проведём осмотр и составим персональный план лечения.
Оставьте заявку — мы перезвоним и подберём удобное время.
Записаться на консультацию
ООО “Е-КЛИНИК”
Контакты в Москве
Студенческая, 20 к.1
Гамалеи, 23, к1
Работаем c 8:00 до 20:00
Служба заботы
В любой момент вы можете позвонить по телефону Службы Заботы и записаться самостоятельно по номеру 8 (495) 324-59-72